A BEAUTIFUL SMILE WITH
Dental Bonding
Dental bonding is the application of a tooth-colored composite resin to repair a decayed, chipped, fractured, discolored tooth, to make teeth appear longer, and as a cosmetic alternative to amalgam fillings. Bonding can be done in a single visit to your dentist.


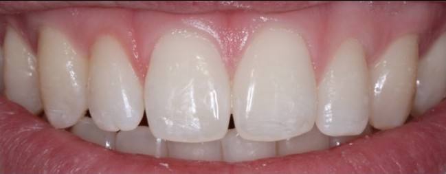
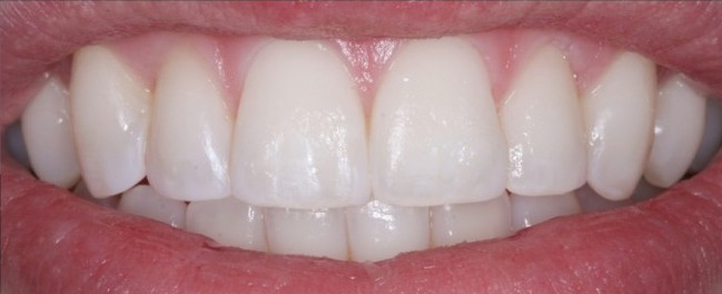
Before & after dental bonding
Why would I choose to have a dental bonding?
Dental bonding can help with the following dental concerns:
- Repair decayed teeth
- Repair chipped or cracked teeth
- Close gaps in between teeth
- Cosmetically improve teeth by changing the shape, length or coloration of teeth
- Protect the tooth’s root
What is the process for dental bonding?
The dentist will use tooth colored composites that are also used for fillings and repairs. The composite material is applied directly to the teeth to shape and sculpt the teeth to improve any of the dental concerns listed above.
How should I care for my dental bonding?
It is important to continue excellent dental hygiene once your dental bonding is in place. You want to keep your teeth and gums healthy and strong by brushing your teeth twice a day, flossing every day and using an antiseptic mouthwash daily to help prevent tooth decay and gum disease. We further recommend teeth cleanings and an exam by a dentist every 6 months.
PAYMENT OPTIONS
We participate with Delta Dental and accept Credit Care
We accept
OFFICE FORMS
Forms are available on our Contact page for your convenience.
Please download forms as needed and bring with you to your appointment.
Call us with any questions that you may have.